What is a Lipoma | EdenMed Clinic Chelsea and Bournemouth - Dr. Sam's guide.
Dr. Sam’s explanation in simple language
What Is a Lipoma?
Understanding Appearance, Feel, and What’s Happening Beneath the Skin
Discovering a lump under the skin can be unsettling. What is a lipoma? - One of the most common—and least dangerous—causes of a lump under the skin. Lipomas are benign growths of fatty tissue and are extremely common in adults. While medically harmless in the vast majority of cases, they can raise concerns due to their appearance, size, or location.
This article explains what a lipoma is, how it looks and feels, and what doctors mean when they talk about its pathology and histology—using language that is clear for non-medical readers while still offering depth for those who want a more detailed understanding.
In Simple Terms: What Is a Lipoma?
A lipoma is a non-cancerous (benign) lump made up of fat cells that grows slowly beneath the skin. It is not an infection, cyst, or tumour in the malignant sense. Lipomas do not spread to other parts of the body and rarely cause medical problems.
They most commonly appear in adults between the ages of 30 and 60 and can occur almost anywhere on the body where fat is present.
Common locations include:
-
Neck and shoulders
-
Upper arms
-
Back
-
Abdomen
-
Thighs
Some people develop just one lipoma, while others may develop several over time.
Surface Appearance: What Does a Lipoma Look Like?
From the outside, a lipoma typically:
-
Appears as a soft, rounded or oval swelling
-
Causes a subtle bulge under the skin
-
Is usually skin-coloured, with no redness or inflammation
-
Grows slowly over months or years
The skin over a lipoma generally looks completely normal. There is no punctum (blackhead-like opening), no discharge, and no signs of infection. This helps distinguish lipomas from epidermoid (sebaceous) cysts.
In many cases, lipomas are more noticeable by touch than by sight, particularly in early stages.

Subcutaneous Feel: How Does a Lipoma Feel to the Touch?
One of the most characteristic features of a lipoma is how it feels beneath the skin.
Typically, a lipoma:
-
Feels soft or rubbery, not firm
-
Is mobile, meaning it moves slightly when pressed
-
Is usually painless
-
Feels well-defined, as though it has clear edges
Doctors often describe lipomas as having a “doughy” or “slip sign” feel—meaning they slide away from the fingers rather than being fixed in place.
Pain is uncommon. If pain is present, it may be due to:
-
Pressure on a nearby nerve
-
Rapid enlargement
-
Inflammation (rare)
Painful or rapidly growing lumps should always be medically assessed. The differential diagnosis we worry about is Liposarcoma - a type of cancer.
What Causes a Lipoma?
The exact cause of lipomas is not fully understood, but several factors are associated with their development:
-
Genetics: Lipomas often run in families
-
Minor trauma: Some lipomas appear after an injury, although this link is debated
-
Metabolic factors: They are more common in mid-life
Importantly, lipomas are not caused by diet, weight gain, or poor lifestyle choices, although they may become more noticeable with changes in body composition.
Pathology: What Is a Lipoma Made Of?
From a medical perspective, a lipoma is a benign tumour of adipose tissue (fat).
Pathologically:
-
It is composed of mature fat cells
-
These cells are normal in appearance
-
The growth is slow and non-invasive
-
It does not infiltrate surrounding tissues in the way malignant tumours do
Most lipomas are surrounded by a thin fibrous capsule, which helps explain their smooth borders and mobility under the skin.
This encapsulation is one reason why traditional surgical excision can remove a lipoma completely, although not all non-surgical approaches aim to remove the capsule itself.

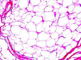
Histology: What Does a Lipoma Look Like Under the Microscope?
Histology refers to how tissue appears when examined microscopically.
Under the microscope, a lipoma shows:
-
Mature adipocytes (fat cells) that look identical to normal body fat
-
Cells arranged in lobules
-
A delicate fibrous connective tissue framework
-
No cellular atypia, abnormal nuclei, or aggressive features
This normal cellular appearance is what confirms a lipoma’s benign nature.
There are also variants of lipomas, such as:
-
Angiolipomas (contain small blood vessels, sometimes tender)
-
Fibrolipomas (contain more fibrous tissue)
-
Intramuscular lipomas (deeper, less mobile)
These variants may behave slightly differently in terms of feel, depth, or response to treatment, but they remain benign.

How Are Lipomas Diagnosed?
Most lipomas are diagnosed clinically, meaning:
-
A medical history
-
Physical examination
-
Assessment of size, mobility, and texture
In some cases, additional imaging may be recommended:
-
Ultrasound to confirm fatty composition and depth
-
MRI for deeper or atypical lesions
Biopsy or removal for histological confirmation is usually reserved for:
-
Rapidly growing lumps
-
Painful or firm lesions
-
Lesions with atypical features
When Should a Lipoma Be Assessed?
Although lipomas are benign, you should seek medical evaluation if a lump:
-
Grows rapidly
-
Becomes painful
-
Feels hard or fixed
-
Changes the skin above it
-
Causes functional or cosmetic concern
Assessment ensures accurate diagnosis and allows discussion of management options.
In Summary
A lipoma is:
-
A benign growth of normal fat cells
-
Soft, mobile, and slow-growing
-
Harmless in the vast majority of cases
-
Diagnosed primarily through clinical examination
-
Understood clearly through its normal pathology and histology
Understanding what a lipoma is—and what it is not—can provide reassurance and help patients make informed decisions about monitoring, treatment, or removal. If in doubt, always seek medical advice.
If you are exploring lipoma and would like a considered, anatomy-led assessment, you can learn more about our approach to treatments in Chelsea and Bournemouth here.
